 |
| Автор |
Сообщение |
|
lovelyannie
|
Заголовок сообщения: Re: а кто ставил виниры? Добавлено: 10 мар 2011, 13:53 |
|
Зарегистрирован: 20 фев 2009, 01:30 Сообщения: 6005 Откуда: Desperate Housewife from Fairview, Eagle State
|
Мими писал(а): но вот цвет от антибиотика в детстве.. У меня то же самое. До 4х лет меня непрерывно держали на антибиотиках - несколько раз пневомния, сепсис (общее заражение крови), не считая мелочей вроде бронхитов и ангин постоянных. А отбеливать боюсь - больно. Тоже, что ли, виниры поставить? 
_________________ Продам дрова - недавно наломала.
|
|
 |
|
 |
|
Мими
|
Заголовок сообщения: Re: а кто ставил виниры? Добавлено: 10 мар 2011, 14:01 |
|
Зарегистрирован: 14 янв 2008, 21:40 Сообщения: 167 Откуда: NYC
|
lovelyannie писал(а): Мими писал(а): но вот цвет от антибиотика в детстве.. У меня то же самое. До 4х лет меня непрерывно держали на антибиотиках - несколько раз пневомния, сепсис (общее заражение крови), не считая мелочей вроде бронхитов и ангин постоянных. А отбеливать боюсь - больно. Тоже, что ли, виниры поставить?  Если бы отбеливание брало тетрациклиновые зубы, то это безусловно лучше виниров. Все таки под них зубы обтачиваются, потом бойся укусить, уход лучше нужен, менять их периодически, а стоит это недешево. Но вот таки не работают никакие отбеливания на тетрациклиновые зубы, могут чуть посветлеть сперва, но не значительно, не так как с обычными зубами. А вот чувствительность зубов от него заработать очень реально. Мне мой дантист говорит сразу, дело твое, но лучше не трать деньги на отбеливания, не поможет, да и в инете инфы по теме достаточно. Еще может кто читает, Блондикенди блог, у нее тоже тетрациклиновые были, отбеливала много раз и без толку, но заработала дикую чувствительность зубов. В итоге сделала виниры на все и счастлива.
|
|
 |
|
 |
|
Sanchez
|
Заголовок сообщения: Re: а кто ставил виниры? Добавлено: 10 мар 2011, 15:08 |
|
Зарегистрирован: 25 фев 2011, 12:49 Сообщения: 282 Откуда: МА
|
Josantia1 писал(а):
Call your dental insurance and ask them.
так именно в страховой компании мне и сказали 10 лет-у меня коронка слетела-я хотела новую, сказали нет пришлось старую ставить
|
|
 |
|
 |
|
Josantia1
|
Заголовок сообщения: Re: а кто ставил виниры? Добавлено: 14 мар 2011, 15:05 |
|
 |
| звезда |
 |
|
|
Зарегистрирован: 09 авг 2008, 22:42 Сообщения: 70
|
Sanchez писал(а): Josantia1 писал(а):
Call your dental insurance and ask them.
так именно в страховой компании мне и сказали 10 лет-у меня коронка слетела-я хотела новую, сказали нет пришлось старую ставить а какая страховка у вас, интересно просто?
|
|
 |
|
 |
|
Josantia1
|
Заголовок сообщения: Re: а кто ставил виниры? Добавлено: 14 мар 2011, 15:45 |
|
 |
| звезда |
 |
|
|
Зарегистрирован: 09 авг 2008, 22:42 Сообщения: 70
|
|
Девочки, кто поможет фоку уменьшить, не входит, болшая.
|
|
 |
|
 |
|
Josantia1
|
Заголовок сообщения: Re: а кто ставил виниры? Добавлено: 14 мар 2011, 16:04 |
|
 |
| звезда |
 |
|
|
Зарегистрирован: 09 авг 2008, 22:42 Сообщения: 70
|
|
Если бы отбеливание брало тетрациклиновые зубы, то это безусловно лучше виниров. Все таки под них зубы обтачиваются, потом бойся укусить, уход лучше нужен, менять их периодически, а стоит это недешево. Но вот таки не работают никакие отбеливания на тетрациклиновые зубы, могут чуть посветлеть сперва, но не значительно, не так как с обычными зубами. А вот чувствительность зубов от него заработать очень реально. Мне мой дантист говорит сразу, дело твое, но лучше не трать деньги на отбеливания, не поможет, да и в инете инфы по теме достаточно. Еще может кто читает, Блондикенди блог, у нее тоже тетрациклиновые были, отбеливала много раз и без толку, но заработала дикую чувствительность зубов. В итоге сделала виниры на все и счастлива
---------------------------------------- ----Абсолютно согласна! Я теперь кушаю иначе. Яблоки не кусаю, боюсь.Режу все на мелкие кусочки, тру не терке. Печально, но красота требует жерв. В моем случае я не могла низ отбелить так, чтобы и по форме и по цвету метчил верх. Я не знаю, когда придется менять и когда венири отвалятса, но а очень берегу их, плюс но на етот случай у меня $$$ отложено. Зубы у меня теперь главная статья раходов.Но я не жалею,
|
|
 |
|
 |
|
sofia07
|
Заголовок сообщения: Re: а кто ставил виниры? Добавлено: 14 мар 2011, 22:56 |
|
 |
| Богиня Мудрости |
 |
|
|
Зарегистрирован: 14 сен 2008, 02:30 Сообщения: 5235 Откуда: Россия-Калифорния
|
|
Девочки, если бы у меня были тетрациклиновые зубы или любые другие ИНТАКТНЫЕ зубы, портящие улыбку по тем или иным причинам, я бы люминиры поставила. Правда их ставят минимум на 8 зубов, что сильно ударяет по карману.
|
|
 |
|
 |
|
Josantia1
|
Заголовок сообщения: Re: а кто ставил виниры? Добавлено: 16 мар 2011, 17:09 |
|
 |
| звезда |
 |
|
|
Зарегистрирован: 09 авг 2008, 22:42 Сообщения: 70
|
|
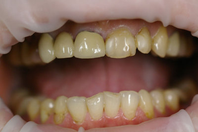
Ну что, нашелся добрый человек, уменьшил мне фото . Попробую поставить до и после.
| Вложения: |

2-1.jpg [ 39.05 КБ | Просмотров: 1942 ]
|
|
|
 |
|
 |
|
Josantia1
|
Заголовок сообщения: Re: а кто ставил виниры? Добавлено: 16 мар 2011, 17:24 |
|
 |
| звезда |
 |
|
|
Зарегистрирован: 09 авг 2008, 22:42 Сообщения: 70
|
|
И после -низ - все виниры -6 и по бокам еще коронки - их не видно
| Вложения: |

3.JPG [ 192.65 КБ | Просмотров: 1939 ]
|
|
|
 |
|
 |
|
Josantia1
|
Заголовок сообщения: Re: а кто ставил виниры? Добавлено: 16 мар 2011, 17:25 |
|
 |
| звезда |
 |
|
|
Зарегистрирован: 09 авг 2008, 22:42 Сообщения: 70
|
|
Верз попозже поставлю, я щас убегаю
|
|
 |
|
 |
|
Мими
|
Заголовок сообщения: Re: а кто ставил виниры? Добавлено: 16 мар 2011, 17:29 |
|
Зарегистрирован: 14 янв 2008, 21:40 Сообщения: 167 Откуда: NYC
|
sofia07 писал(а): Девочки, если бы у меня были тетрациклиновые зубы или любые другие ИНТАКТНЫЕ зубы, портящие улыбку по тем или иным причинам, я бы люминиры поставила. Правда их ставят минимум на 8 зубов, что сильно ударяет по карману. А что значит Интактные? Через люминиры мне дантист сказал светить будут темные тетрациклиновые зубы, они ведь тоньше виниров.
|
|
 |
|
 |
|
sofia07
|
Заголовок сообщения: Re: а кто ставил виниры? Добавлено: 16 мар 2011, 21:27 |
|
 |
| Богиня Мудрости |
 |
|
|
Зарегистрирован: 14 сен 2008, 02:30 Сообщения: 5235 Откуда: Россия-Калифорния
|
Мими, интактные - значит, без кариеса. Я за всю Одессу не скажу Вам по поводу "просвечивания" тетрациклиновых зубов. Давайте я у дока сваво спрошу, ежели не забуду. Можно, наверное, на плотный опакер ( это непрозразный цвет материала ) поставить - не должно просвечивать. Но я проконсультируюсь лучше 
|
|
 |
|
 |
|
marina
|
Заголовок сообщения: Re: а кто ставил виниры? Добавлено: 16 мар 2011, 21:39 |
|
Зарегистрирован: 29 окт 2002, 00:13 Сообщения: 21407 Откуда: Texas
|
Josantia1 писал(а): И после -низ - все виниры -6 и по бокам еще коронки - их не видно вау..импресив! 
_________________ A woman in Russia has a chance to be almost everything except a woman
|
|
 |
|
 |
|
Maruna
|
Заголовок сообщения: Re: а кто ставил виниры? Добавлено: 16 мар 2011, 22:41 |
|
 |
| Богиня |
 |
|
|
Зарегистрирован: 01 май 2006, 12:54 Сообщения: 510 Откуда: Америка
|
|
Josantia1 спасибо за фотку нижнего ряда.Сейчас хоть имею представление как выглядят виниры " в жизни".Очень-очень красиво!.Теперь буду ждать фотку верхнего ряда!!!!У меня тоже мечта сделать "голливудскую улыбку" уже много лет....но пока не могу найти "своего" дантиста.
|
|
 |
|
 |
|
Мими
|
Заголовок сообщения: Re: а кто ставил виниры? Добавлено: 16 мар 2011, 23:16 |
|
Зарегистрирован: 14 янв 2008, 21:40 Сообщения: 167 Откуда: NYC
|
sofia07 писал(а): Мими, интактные - значит, без кариеса.
ну пломб у меня хватает..
|
|
 |
|
 |
|
Кто сейчас на конференции
Сейчас этот форум просматривают: нет зарегистрированных пользователей и гости: 24 |
| |
|
|
Вы не можете начинать темы Вы не можете отвечать на сообщения Вы не можете редактировать свои сообщения Вы не можете удалять свои сообщения Вы не можете добавлять вложения
|
|
|